
Was ist aesthetic liner®?
Zahnkorrekturschienen haben sich bei der Behandlung von erwachsenen Patienten* besonders etabliert und stellen bei richtiger Indikation eine sehr effiziente Therapiemög- lichkeit dar. In Kombination mit einem fachlich extrem fokussierten Fachlabor für KFO ist der aesthetic liner® sehr vielseitig.
Dieses Sysetem ist Teil der vom Fachlabor W. Klee hergestellten Schienengruppe, den aestehetic liner Schienen. Sie basieren auf einen Stufensystem, wobei jede Behandlungsstufe durch zwei verschiedene Schienen erreicht wird. Üblicherweise wird das Behandlungsziel mit maximal acht Schienen je Kiefer nach circa 16 Wochen erreicht.
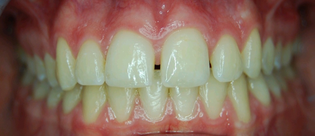
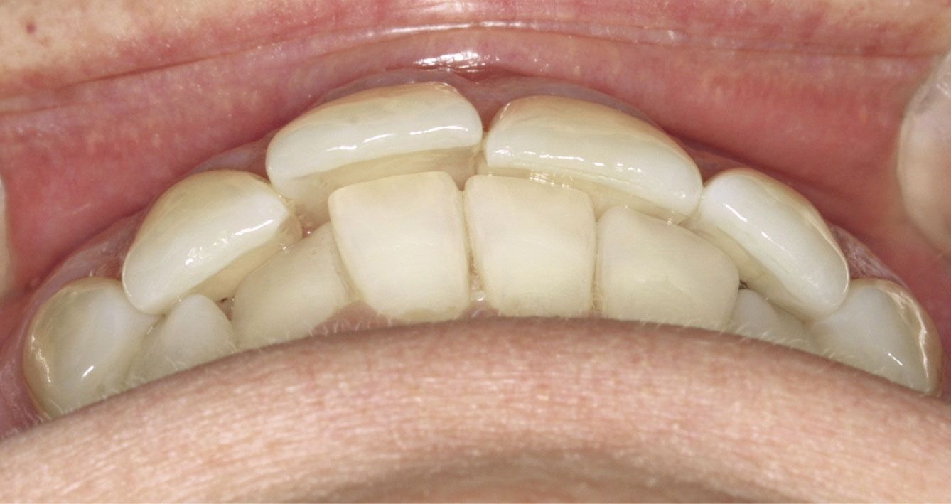
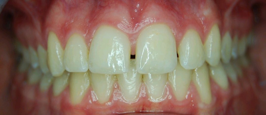
aesthetic liner® ist die kostentransparente und effiziente Therapie mit glasklaren Schienen, um zum Beispiel klassische Frontzahnfehlstellungen ästhetisch und elegant zu korrigieren. Diese Therapie ist eine interessante Alternative für Patienten, die einen hohen Wert auf Ästhetik während der Behandlung legen.
Erwachsenen Patienten, die herausnehmbare Geräte oder eine Multibracket-Behandlung
als unangenehm empfinden, kann bei unserem breiten Indikationsfeld mit den aesthetic liner Schienen sehr gut geholfen werden.
Die Behandlung mit aesthetic liner® ist die Lösung für Erwachsene jeden Alters.